발목을 접질렸을 때 어떻게 대처해야 할지 막막한 경험, 한 번쯤은 모두 겪어보셨을 겁니다.
갑작스러운 통증과 부종에 금세 불안해지기도 하고, 제대로 치료하지 않으면 회복이 늦어질까 걱정되기도 하죠.
사소하게 생각해 무심코 넘기면 후유증까지 이어질 수 있는 만큼 발목 접질림은 빠른 이해와 정확한 대응이 중요합니다.
이번 글에서는 '발목접질렀을때' 나타나는 부종의 원인부터 증상, 분류, 그리고 응급처치법과 회복을 위한 운동, 병원 방문 시점까지 꼼꼼히 살펴봅니다.
일상 속에서 누구에게나 일어날 수 있는 발목 부상을 예방하고 제대로 관리하는 방법을 쉽고 자세히 알려드려요.
혹시 최근에 발목을 접질려서 불안하다면, 지금부터 함께 읽으면서 올바른 대처법과 회복 팁을 배워보시기 바랍니다.
간단한 응급처치부터 병원 방문해야 하는 신호까지 놓치지 않고 챙기면, 빠르고 안전한 회복에 큰 도움이 될 것입니다.
이 글을 통해 발목 부상의 정확한 이해와 효과적인 관리법을 익혀 건강한 일상을 지키세요.

발목접질렀을때 붓는 이유
발목을 접질렀을 때 붓는 현상은 흔히 경험하는 증상 중 하나입니다. 많은 분들이 단순히 '부어서 그렇다'고만 생각할 수 있는데, 실제로 발목 부종은 발목 염좌가 일으키는 주요한 생리적 반응입니다. 저는 발목이 접질리면서 왜 붓는지 그 원리를 명확히 아는 것이 무조건 빠른 회복의 첫걸음이라고 생각합니다.
부종의 발생 원리
발목 염좌는 인대가 갑작스럽게 늘어나거나 일부가 찢어지는 상태를 말합니다. 이때 손상된 인대 주변 혈관이 먼저 반응하기 시작하는데, 초기에는 상처 부위의 출혈을 막기 위해 혈관이 잠시 수축합니다. 그러나 곧 혈관이 확장하면서 염증을 유발하는 다양한 물질들이 분비되어 혈관벽이 느슨해지고 혈액 내 액체가 조직 사이로 스며나가기 시작합니다. 이때 형성되는 액체를 삼출액이라 부르며, 삼출액이 쌓이면서 조직이 부풀어 올라 붓기가 발생합니다.
삼출액의 역할과 영향
삼출액은 단순히 부기를 일으키는 것 이상으로, 염증 유발 인자와 면역세포, 단백질, 산소 등을 포함하여 손상 부위를 보호하고 치유를 돕습니다. 독소 희석, 영양 공급, 통증 완화, 혈액 응고 조절 등 다양한 역할을 수행하며 우리 몸이 스스로 회복할 수 있는 환경을 만들어 줍니다. 따라서 부종 자체가 나쁜 현상만은 아니며, 자연스러운 치유 과정임을 이해하는 것이 필요합니다.
부종의 부정적 영향과 관리 필요성
하지만 삼출액이 과도하게 축적되면 통증이 악화되고 발목의 움직임이 제한될 수 있습니다. 손상 후 24시간에서 72시간 사이에 염증 반응과 부종이 최고조에 달하는데, 이 시기에 적절한 조치를 취하지 않으면 림프계가 삼출액을 제대로 배출하지 못해 회복이 늦어질 수 있습니다. 심한 부종이 장기간 지속된다면 조직 손상이 더 심해질 우려도 있기 때문에 초기 대응이 매우 중요합니다.
자연 치유 과정과 주의할 점
결국 붓기는 우리 몸이 발목 염좌를 치유하는 자연스러운 과정입니다. 시간이 지나면서 림프계가 부종을 흡수하고 혈액 및 조직의 흐름이 정상화되면서 붓기가 가라앉게 됩니다. 그러나 부종이 평소보다 크거나 통증이 심해질 경우에는 별도의 치료가 필요할 수도 있어 전문의 진료를 권장합니다.
| 부종 발생 과정 | 설명 |
| 혈관 수축 | 출혈 억제를 위해 초기 혈관이 잠시 수축함 |
| 혈관 확장 및 액체 유출 | 염증 유발 물질 분비로 혈관벽이 느슨해져 삼출액 형성 |
| 삼출액 축적 | 조직 사이에 액체가 쌓여 부종과 통증 발생 |
| 림프계 배출 | 자연 치유 과정으로 부종 감소, 회복 시작 |
발목접질렀을때 나타나는 붓기는 자연스러운 치유 신호이지만, 제대로 관리하지 않으면 오히려 회복을 방해할 수 있습니다. 따라서 초기에 적절한 처치를 하고 부종의 원리를 이해하는 것이 무엇보다 중요합니다. 앞으로 소개할 응급처치법과 회복법을 꾸준히 실천하여 빠르고 건강한 발목 회복을 경험해 보시기 바랍니다. 지금 바로 시작해 보세요!



발목 염좌의 정의 및 원인
발목 접질림, 즉 발목 염좌는 말 그대로 발목을 지탱하는 인대가 갑작스럽게 늘어나거나 부분적으로 파열되는 상태를 말합니다. 흔히 스포츠 활동 중이나 일상생활에서 흔히 경험하는 부상이지만, 그 심각성은 결코 가볍게 넘길 수 없습니다. 많은 경우 발바닥이 안쪽으로 꺾이면서 외측 인대가 손상되는데, 전체 발목 염좌 중 약 85%를 차지할 만큼 매우 흔하게 발생하는 패턴입니다.
주요 원인
발목 염좌의 원인은 생각보다 다양합니다. 우선 가장 흔한 원인은 걷거나 뛰다 헛디딤이 발생했을 때입니다. 아무리 조심해도 순간적인 균형 잃음이나 착지 실패는 누구나 경험할 수 있죠. 운동 중 갑작스러운 방향 전환도 큰 위험 요소입니다. 축구나 농구, 테니스 같은 스포츠에서는 빠른 페이크 동작이나 방향 전환 중에 발목이 비틀리면서 손상이 일어나기 쉽습니다.
신발 선택도 중요한 변수입니다. 하이힐이나 불안정한 신발을 신으면 발목이 흔들리기 쉽고, 이는 염좌 위험을 크게 높입니다. 또 고르지 않은 바닥이나 계단에서 실족해 발목을 접지르는 경우가 많습니다. 울퉁불퉁한 길이나 빙판길 역시 예외는 아닙니다.
과도한 체중이나 이전에 발목을 접질린 경험도 주의할 점입니다. 체중이 늘어나면 인대에 가해지는 부담이 커지고, 한번 손상된 인대는 다시 재발 위험이 높아 신경 쓰지 않으면 반복적인 부상이 일어나기 쉽습니다. 발목 주변 근육이 약하거나 유연성이 부족한 사람도 염좌에 취약합니다.
인대 손상 유형
발목 염좌는 손상 정도에 따라 크게 세 가지 등급으로 분류됩니다. 가벼운 1단계는 인대가 미세하게 손상된 상태로, 약한 통증이나 거의 없는 붓기와 함께 보행이 가능합니다. 2단계는 인대가 부분적으로 파열되어 통증과 부종, 멍이 나타나 보행이 어렵고, 3단계는 인대가 완전히 파열된 상태로 극심한 통증과 부종이 나타나며 발을 딛는 것조차 힘듭니다.
| 원인 | 설명 |
| 걷거나 뛰다 헛디딤 | 갑작스러운 균형 상실로 발목이 비틀림 |
| 운동 중 착지 실패 | 빠른 방향 전환이나 점프 후 착지 시 발생 |
| 불안정한 신발 착용 | 하이힐, 굽 높은 신발, 지지력 부족 |
| 고르지 않은 지면 | 울퉁불퉁하거나 미끄러운 바닥 |
| 과체중 및 근육 불균형 | 인대 부담 증가 및 안정성 저하 |
발목 염좌는 누구에게나 갑작스럽게 찾아올 수 있는 부상입니다. 하지만 원인을 알고 주의하면 충분히 예방할 수 있으며, 부상 초기에 정확한 대응으로 큰 손상을 막을 수 있습니다. 평소에 발목 근육을 강화하고 유연성을 높이는 운동을 꾸준히 해보세요. 적절한 신발을 신는 것 또한 매우 중요한 예방법입니다. 발목 건강을 지키기 위한 작은 습관이 큰 차이를 만들어냅니다.



발목접질렀을때 증상과 징후
발목을 접질렸을 때 나타나는 증상들은 대부분 누구나 경험할 수 있는 대표적인 신체 반응입니다. 하지만 이것들이 단순한 통증인지, 아니면 심각한 손상을 의미하는지 구분하는 것은 매우 중요합니다. 그래서 발목접질렀을때 나타나는 주요 증상과 징후를 상세히 알아보고, 상황에 따라 어떻게 대처해야 하는지 함께 이야기해보겠습니다.
통증 및 부종 – 염증 반응에 의한 붓기 현상
발목을 접질린 후 몇 시간 이내에 발목 주변이 붓기 시작합니다. 부종은 부상 부위에 삼출액이 고이면서 발생하는 자연스러운 염증 반응입니다. 이 과정에서 히스타민 등 염증 유발 물질이 분비되어 혈관 벽이 느슨해지고, 조직 사이에 액체가 몰리면서 붓기가 나타나죠. 이 부종은 몸이 치유되는 과정의 일부로 볼 수 있지만, 과도한 붓기는 통증을 악화시키고 움직임을 제한하기 때문에 적극적인 관리가 필요합니다.
멍(타박상) – 이후 며칠에 걸쳐 나타나는 피부 변화
일반적으로 부상 후 1~2일 정도가 지나면 붓기와 함께 피부 아래 출혈로 인해 보라색 또는 파란색의 멍이 발목에 생기기 시작합니다. 이는 손상된 조직 주변에서 혈액이 새어 나오는 현상으로, 멍이 생기면 부상이 심하다는 신호일 수 있으므로 주의가 필요합니다. 멍은 시간이 지나면서 자연스럽게 사라지지만, 심하게 퍼지거나 통증과 함께라면 병원 진료가 필요합니다.
움직임 제한과 불안정성 – 정상적인 활동의 어려움
발목에 통증과 부종이 생기면 당연히 발목을 자유롭게 움직이기 힘들어집니다. 발목을 돌리거나 체중을 실을 때 통증이 심하다면 보행도 어려울 수 있습니다. 이 밖에도 발목 인대가 손상될 경우 관절 자체가 흔들리거나 불안정한 느낌을 주며, 발목이 꺾이는 듯한 불안감을 느낄 수 있습니다. 심한 경우 ‘뚝’ 소리가 들리기도 하는데, 이때는 골절 가능성도 염두에 둬야 합니다.
‘뚝’ 소리와 기타 경고 신호
발목을 접질릴 때 때로는 ‘뚝’ 하는 소리가 들리는 경우가 있습니다. 이는 인대가 갑자기 늘어나거나 찢어졌다는 증거일 가능성이 크며, 가벼운 염좌를 넘어서는 손상일 수 있으므로 신속한 전문 진단과 치료가 필요합니다.
| 증상 | 특징 | 중요 포인트 |
| 통증 | 외측 발목, 누를 때 심함, 체중 부하 시 악화 | 지속적이고 심하면 정밀 진단 필요 |
| 부종 | 부상 직후 수 시간 내 발생, 조직 액체 축적 | 과도한 붓기 시 통증 및 움직임 제한 |
| 멍(타박상) | 1~2일 후 피부 아래 출혈로 발생 | 심한 멍은 전문 치료 권장 |
| 움직임 제한 | 발목 돌리기, 체중 부하 어려움 | 심할 경우 일상 생활 지장 |
| 불안정성 | 발목이 흔들리거나 꺾이는 느낌 | 재발 위험 높음, 적절한 치료 필수 |
발목접질렀을때 나타나는 이런 증상과 징후들을 잘 이해하고 신속히 대응하는 것이 무엇보다 중요합니다. 적절한 시간 안에 응급처치를 하고 필요시 병원을 방문하여 정확한 진단을 받는다면 회복 속도도 훨씬 빨라지고, 이후 발생할 수 있는 후유증을 줄일 수 있습니다.
따라서 이상 증상이 느껴지면 방치하지 말고 즉시 알려진 응급처치법을 실천하고 전문가의 도움을 받는 것이 가장 현명한 선택입니다.
지금 당장 발목이 불편하다면, 통증과 붓기 완화를 위한 적절한 조치를 취하고, 정확한 정보와 함께 꾸준한 회복 관리를 이어가시길 추천드립니다.



발목 염좌 분류 및 회복 기간 안내
발목을 접질렀을 때 손상의 정도는 다양하며 그에 따른 회복 기간도 크게 차이가 납니다. 발목 염좌는 인대 손상의 심각도에 따라 1단계에서 3단계로 분류할 수 있는데, 각각의 단계에 따라 증상과 치료 방법, 회복 시간이 달라집니다. 정확한 분류를 이해하는 것은 적절한 치료 계획을 세우고 부상을 더 악화시키지 않는 데 매우 중요합니다.
1단계: 인대 미세 손상
1단계 염좌는 인대가 약간 늘어나거나 작은 미세 손상이 발생한 상태입니다. 이 경우 통증이 경미하거나 가벼운 불편감 정도이며, 부종이나 멍이 거의 없거나 아주 미미하게 나타납니다. 보행이 가능하며 일상 생활에 큰 지장을 주지 않습니다. 보통 빠른 회복이 가능한 단계로, 적절한 휴식과 가벼운 스트레칭, 보호대 착용으로 1~2주 내에 회복됩니다.
2단계: 인대 부분 파열
2단계 염좌는 인대 조직이 부분적으로 파열된 상태입니다. 이 경우 통증이 심하고 부종과 멍이 눈에 띄게 나타납니다. 발목을 움직이거나 체중을 실었을 때 어려움이 있으며 불편감이 큽니다. 이 단계에서는 휴식과 함께 전문적인 물리치료가 권장되며, 치료 기간은 보통 3~6주가 소요됩니다. 중간 정도의 보호대 착용과 점진적인 운동 재활이 필요하며, 무리한 움직임은 재손상의 위험이 있습니다.
3단계: 인대 완전 파열
가장 심각한 단계인 3단계 염좌는 인대가 완전히 파열된 상태입니다. 극심한 통증과 함께 심한 부종, 멍이 나타나며 발목에 전혀 체중을 실을 수 없습니다. 발목이 불안정해지고 심할 경우 변형이 관찰되기도 합니다. 이 경우에는 전문적인 의학적 치료가 필수이며, 수술적 치료가 필요할 수 있습니다. 수술 후에는 장기간의 회복과 재활 치료가 진행되어야 하며 회복 기간은 6주에서 3개월 이상 걸릴 수 있습니다.
발목 염좌 단계별 요점 정리
| 등급 | 손상 정도 | 주요 증상 | 예상 회복 기간 |
| 1단계 | 인대 미세 손상 | 약한 통증, 부종 미미, 보행 가능 | 1~2주 |
| 2단계 | 인대 부분 파열 | 통증 심화, 부종·멍, 보행 어려움 | 3~6주 |
| 3단계 | 인대 완전 파열 | 극심한 통증, 심한 부종, 발 딛기 어려움 | 6주~3개월 이상 |
발목 접질림 후에는 자신의 증상을 꼼꼼히 관찰하고, 해당되는 염좌 단계를 정확히 파악하는 것이 중요합니다. 조기에 적절한 대처를 하지 않으면, 증상이 악화되어 회복이 길어질 수 있기 때문입니다. 특히 2단계 이상이라면 전문의 상담과 치료를 받는 것을 권장 드립니다. 빠른 회복을 위해서는 일상 속에서 충분한 휴식을 취하고 무리한 활동은 피하며, 꾸준한 재활 운동을 통해 발목의 유연성과 근력을 회복하는 것이 바람직합니다. 만약 증상이 호전되지 않거나 악화된다면, 즉시 병원을 방문하여 보다 정밀한 검사를 진행하시길 바랍니다.
이처럼 발목 염좌의 분류 및 회복 기간을 알고 있으면, 상황에 맞는 적절한 대처가 가능해져 빠르고 안전한 회복을 도울 수 있습니다. 앞으로 발목에 통증이나 부기가 느껴질 때 이번 정보를 참고해 적절히 대응해보시기 바랍니다.



발목접질렀을때 응급처치법 (RICE 요법)
발목을 접질렸을 때 가장 먼저 해야 할 일은 정확하고 신속한 응급처치입니다. 적절한 응급처치는 붓기와 통증을 줄이고, 회복 속도를 높여 심한 후유증을 예방하는 데 큰 도움이 됩니다. 발목접질렀을때 현장에서 가장 많이 권장되는 방법이 바로 RICE 요법인데요, 이는 Rest(휴식), Ice(냉찜질), Compression(압박), Elevation(거상)을 뜻합니다. 각각의 단계를 정확히 이해하고 적용하는 것이 중요합니다.
1. Rest (휴식)
발목이 접질렸을 때 가장 먼저 해야 할 일은 부상 부위 사용을 중단하는 것입니다. 체중을 부상당한 발목에 실으면 더 큰 손상을 야기할 수 있으니, 가능한 한 걷거나 무게를 실지 않는 것이 중요합니다. 이를 지키는 것이 회복의 첫걸음입니다. 무리하게 움직이거나 빨리 활동을 재개하면 인대가 늘어나거나 파열될 위험이 커집니다.
일상생활에서 휴식을 실천하기 어렵다면 목발이나 지팡이 사용도 고려해 볼 만합니다. 이는 발목에 가해지는 부담을 효과적으로 줄여 주기 때문에 초기에 반드시 체중을 덜어주는 것이 필수입니다.
2. Ice (냉찜질)
냉찜질은 접질린 발목 부위에 얼음 찜질을 적용해 통증과 붓기를 효과적으로 가라앉히는 방법입니다. 부상 후 24~48시간 동안은 하루 3~8회, 15~20분씩 냉찜질을 하는 것이 권장됩니다. 얼음을 직접 피부에 접촉시키면 동상 위험이 있으니 반드시 수건 등으로 감싸서 사용해야 합니다.
냉찜질은 혈관을 수축시켜 혈류량을 줄이고 염증 물질의 분비를 억제하는 역할을 합니다. 그래서 부종과 통증을 초기 단계에서 신속하게 줄이는 데 매우 유용합니다. 하지만 너무 오래 하거나 과도한 찜질은 혈액순환을 방해할 수 있으니 주의가 필요합니다.
3. Compression (압박)
탄력 붕대나 압박 밴드를 사용해 발목을 적절히 감싸는 것도 부기 완화에 도움이 됩니다. 압박은 부종이 과도하게 발생하는 것을 막고 삼출액이 빠져나가도록 도와주는 역할을 하죠. 하지만 과하게 조이면 혈액 순환을 방해할 수 있기 때문에 발가락이 저리거나 색이 변하면 즉시 압박을 풀어야 합니다.
압박 방법은 발목을 전체적으로 일정한 강도로 감싸되, 너무 꽉 조이지 않도록 신경 써야 하며, 일상생활에서 움직일 때도 불편함이 없게 조절하는 것이 좋습니다. 압박 밴드는 부종 초기부터 며칠간 착용하는 것이 일반적입니다.
4. Elevation (거상)
발목을 심장보다 높게 올려두는 거상 역시 붓기를 가라앉히는 데 큰 효과가 있습니다. 베개나 쿠션을 이용해 누워 있을 때 발목 위치를 높게 유지하면 중력의 힘을 이용해 체액이 하체 쪽으로 몰리는 것을 막아 부종이 감소합니다.
특히 자는 동안에도 발목을 높게 올려두면 부기 해소와 통증 완화에 도움 되며, 혈액과 림프액의 순환을 원활하게 만들어 자연 치유 과정을 돕습니다. 거상은 하루 종일 가능한 자주 시행하는 것이 좋습니다.
RICE 요법 실천 시 주의사항
- 냉찜질과 압박, 거상은 부상 후 24~72시간 내 집중적으로 진행하는 것이 효과적입니다.
- 통증이 심하거나 변형이 의심될 경우 즉시 병원에 방문해 정확한 진단을 받는 것이 필요합니다.
- 피부 저림, 변색 등의 이상 신호가 있을 때는 압박을 느슨하게 조절하거나 찜질을 중단하세요.
- 과도한 휴식은 근육 약화와 관절 경직을 불러올 수 있으니, 부상이 안정되면 점진적인 운동이 필수입니다.
| RICE 단계 | 목적 | 방법 및 주의사항 |
| Rest (휴식) | 발목 사용 중단, 추가 손상 방지 | 체중 부하 금지, 목발/지팡이 활용 가능 |
| Ice (냉찜질) | 통증 및 붓기 감소 | 15~20분씩 3~8회, 얼음은 수건 등으로 감싸기 |
| Compression (압박) | 부종 조절 및 안정성 유지 | 적절한 강도로 감싸기, 저림/변색 시 즉시 풀기 |
| Elevation (거상) | 체액 배출 촉진, 부종 완화 | 심장보다 높게 발목 위치 유지, 수시로 시행 |
발목접질렀을때 가장 중요한 응급처치는 위에서 소개한 RICE 요법이며, 초기 48~72시간 내에 어떻게 대처하느냐에 따라 회복 기간과 결과가 크게 달라집니다. 지금 당장 발목에 통증과 붓기가 느껴진다면, 빠르게 휴식을 취하고 얼음찜질과 압박, 그리고 거상 자세를 실천해 보세요. 이후 증상이 계속 심각하거나 불안하다면 반드시 전문가의 진단을 받는 것이 안전합니다.
당신의 빠른 회복을 위해 지금 바로 RICE 요법을 실천하시길 추천합니다.



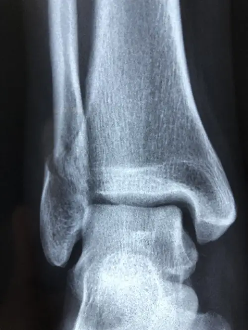
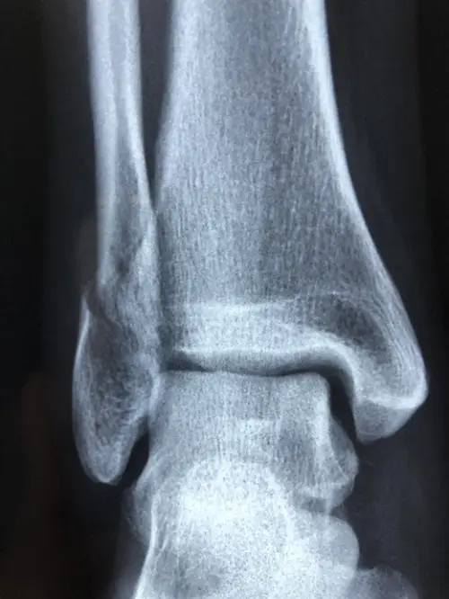
발목접질렀을때 병원 방문 필요 시점
발목을 접질렸을 때 모두가 병원을 찾아야 하는 것은 아니지만, 반드시 전문가의 진단과 치료가 필요한 상황이 있습니다. 이 시기를 놓치면 부상이 더 심해지거나 장기적인 후유증으로 이어질 수 있기에, 자신의 증상이 어떤지 꼼꼼히 체크하는 것이 중요합니다.
심한 통증으로 체중을 전혀 실을 수 없을 때
발목 모양이 비정상적으로 변했거나 꺾인 느낌
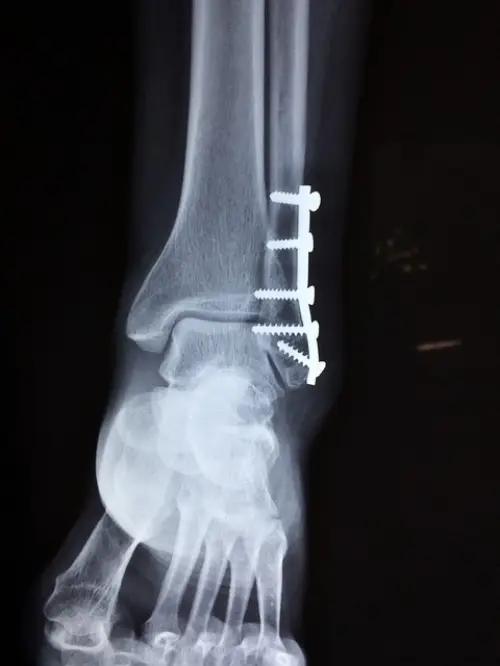
발목 부상이 심하면 관절 변형이나 비정상적인 각도로 꺾이는 경우가 있습니다. 이런 변화는 단순한 염좌 외에 골절이나 인대 손상이 동반되었을 가능성을 시사하므로 무시해서는 안 됩니다.
개방성 골절 - 뼈가 피부 밖으로 노출되는 경우
드물지만 심각한 경우, 발목 뼈가 피부 밖으로 튀어나오는 개방성 골절이 발생할 수 있습니다. 이 경우 감염 위험이 매우 높아 응급 수술과 치료가 필요하므로 지체 없이 응급실을 방문해야 합니다.
통증이 24시간 이상 지속되거나 점점 악화될 때
일반적인 가벼운 염좌는 시간이 지날수록 통증과 부기가 점진적으로 줄어듭니다. 반대로 시간이 지남에도 불구하고 통증이 사라지지 않거나 오히려 악화된다면 이는 잘못된 치료 또는 더 심각한 손상 신호일 수 있으니 전문적인 진료가 요구됩니다.
발, 다리 감각 저하 및 차가움, 마비 증상
발목 접질림 이후에 발이나 다리가 저리거나 감각이 무뎌지고 차가워지는 증상이 나타난다면 신경이나 혈관 손상 가능성이 있습니다. 이러한 증상은 즉각적인 의학적 평가가 필요합니다.
‘뚝’ 소리가 나면서 발생한 부상
발목을 접질릴 때 뚝 하는 소리가 들렸다면 인대가 심하게 손상되었거나 골절이 동반될 가능성이 높습니다. 이 또한 병원에서 정확한 영상 검사와 치료를 받아야 안전합니다.
반복적인 발목 접질림 병력
과거에 발목을 자주 접질린 경험이 있다면, 인대가 약해져 불안정한 상태일 수 있습니다. 이런 경우 다시 부상이 발생하면 회복이 어려워질 수 있으므로 증상이 가볍더라도 전문 진단을 받는 것이 좋습니다.
심한 멍과 지속적인 부종
부상 후 멍이 심하게 들고, 부기가 오래가며 가라앉지 않는다면 내부 출혈이나 조직 손상이 심할 가능성이 있습니다. 적절한 치료 없이 방치하면 회복이 늦어질 수 있습니다.
정확한 진단이 필요한 경우
상기 증상들이 나타났을 때는 X-ray, MRI 등 영상 검사를 통해 인대 파열 정도, 골절 여부, 주변 조직 손상 등을 정확히 확인하는 것이 중요합니다. 이를 통해 적절한 치료계획을 세울 수 있습니다.
병원 방문 시 체크리스트
| 증상 | 의미 | 조치 |
| 심한 통증으로 체중 부하 불가 | 인대 파열, 골절 가능성 | 즉시 병원 방문 |
| 발목 모양 변형 또는 비정상 각도 | 관절 부상 심함 | 영상 검사 필요 |
| 개방성 골절 (뼈 노출) | 감염 위험 높음 | 응급 치료 |
| 통증 24시간 이상 지속 또는 악화 | 부상 상태 악화 | 진료 및 치료 |
| 발/다리 감각 저하·차가움 | 신경·혈관 손상 의심 | 즉각 진료 |
| ‘뚝’ 소리 동반 부상 | 심각한 인대/골절 손상 | 병원 방문 필요 |
| 반복 발목 접질림 병력 | 인대 약화, 불안정 | 전문 진단 권장 |
| 심한 멍·지속 부종 | 내부 출혈 가능성 | 정밀 검사 필요 |
발목접질렀을때 혼자 관리하기 어려운 증상들이 보인다면 미루지 말고 병원을 방문하는 것이 회복을 빠르게 하고 후유증을 예방하는 최선의 방법입니다. 조금의 불편함이라도 느껴진다면 전문의 상담을 받아 정확한 상태를 파악하시길 추천드립니다. 빠른 치료가 건강한 일상 복귀의 첫걸음임을 기억하세요.



발목접질렀을때 장기 후유증 및 관리
발목 접질림 후 장기 후유증의 위험성
발목을 접질리는 순간의 통증과 붓기는 대부분 시간이 지나면서 자연스럽게 호전됩니다. 하지만 초기 관리가 부실하거나 적절한 재활운동을 하지 않으면, 발목에는 장기적인 후유증이 남을 수 있습니다. 이런 후유증은 단순한 불편함을 넘어서 생활의 질을 크게 떨어뜨리고, 무릎이나 허리 등 신체 다른 부위에까지 영향을 미칠 수 있기 때문에 주의가 필요합니다.
특히 만성 발목 불안정증은 자주 발목을 접질려 중심을 잃거나 넘어지는 일이 잦아지는 상태를 뜻합니다. 이 경우 발목 인대가 약해져 반복적인 손상을 입게 되고, 작은 충격에도 쉽게 부상이 발생할 수 있습니다. 또한 날씨 변화 시 발목 부위가 욱신거리거나 통증이 지속되는 만성 통증이 나타나 생활하기 매우 불편해집니다.
만성 통증과 관절염의 연결고리
발목 접질림 후 장기간 통증이 지속되는 것에는 관절염 발생도 큰 원인 중 하나입니다. 반복적인 염증과 부종은 발목 관절의 연골에 손상을 입히고, 퇴행성 변화를 촉진하여 관절염으로 발전할 수 있습니다. 이로 인해 무릎이나 고관절과 달리 평소 잘 주목받지 않는 발목 관절에도 심한 통증과 뻣뻣함이 나타날 수 있습니다.
더욱이 연골 손상은 계단을 오르내리거나 오래 걷는 등의 일상 생활 동작에 큰 제약을 주기 때문에, 초기에 발목 접질림을 치료하고 관리하는 것이 매우 중요합니다. 올바른 운동 치료와 물리치료 없이 방치한다면 후유증 예방은 물론 정상적인 활동 복귀도 어려워질 수 있습니다.
장기 후유증을 예방하는 올바른 관리법
후유증 없이 건강한 발목을 유지하기 위해서는 처음부터 신중한 관리와 꾸준한 재활 운동이 필수입니다. 간단한 스트레칭부터 시작해 점진적으로 근력을 강화하는 운동을 병행하며, 발목 주변 근육의 균형과 유연성을 높이는 노력이 필요합니다. 이렇게 하면 발목의 안정성이 향상되어 재손상 위험을 줄일 수 있습니다.
또한, 재활 기간 동안에는 가벼운 균형 잡기 운동과 저항성 운동을 통해 발목 인대와 근육의 기능을 강화하는 것이 좋습니다. 전문가의 도움을 받으며 체계적인 회복 프로그램을 진행하는 것이 장기 후유증을 예방하는 데 효과적입니다.
생활 속 작은 습관이 만드는 큰 차이
발목 부상 후에는 평소 생활습관도 꼼꼼히 관리해야 합니다. 발목을 무리하게 사용하는 동작을 피하고, 지지력이 좋은 신발을 착용하는 것이 재발 방지에 큰 도움이 됩니다. 특히 운동 전에는 항상 충분한 워밍업과 발목 스트레칭을 실시하고, 불규칙한 지면에서는 주의를 기울여 넘어짐을 예방해야 합니다.
만약 어딘가 불편하거나 약간의 통증이 계속된다면 반드시 병원을 방문해 정확한 진단과 치료를 받는 것이 최선입니다. 조기에 전문가의 조언을 구하면 불필요한 합병증을 방지할 수 있기 때문입니다.
| 장기 후유증 종류 | 주요 증상 | 예방법 및 관리법 |
| 만성 발목 불안정증 | 발목 자주 접질림, 중심 잡기 어려움 | 근력 강화 운동, 균형감각 훈련, 보호대 사용 |
| 만성 통증 | 날씨 변화 시 욱신거림, 지속적인 불편감 | 적극적인 재활 운동, 통증 관리, 병원 진료 |
| 관절염 및 연골 손상 | 발목 뻣뻣함, 움직임 제한, 계단 통증 심화 | 조기 치료, 체계적인 물리치료, 부하 조절 |
발목 접질림은 가볍게 여겨서는 안 되는 부상입니다. 후유증 없이 건강한 발목을 유지하고 싶다면, 부상 직후부터 올바른 응급처치를 시행하고 이후 적극적인 재활과 관리를 해야 합니다. 지금 바로 이 글에서 배운 관리법을 실천하여, 발목 건강을 지키고 일상에서 더욱 활기차고 안전한 움직임을 누리시길 바랍니다.
함께 읽으면 좋은 글
장염 빨리 낫는 법 총 정리
혹시 갑자기 복통과 설사, 구토로 무기력해진 경험이 있으신가요?생각지도 못한 순간 찾아오는 장염은 누구에게나 두렵고, 일상까지 무너뜨릴 만큼 고생스럽죠.장염에 걸리면 무엇을 먹어야 할
ht.chot.co.kr
기침의 원인과 기침 멈추는 법 알아보기 (feat. 감기, 기관지염, 천식 등)
기침은 우리 몸이 다양한 이물질이나 자극으로부터 보호하는 자연스러운 방어 반응입니다. 하지만 기침이 지속되거나 심각해지면 일상생활에 큰 불편을 줄 수 있으며, 건강 이상을 알리는 신호
ht.chot.co.kr
흉곽출구증후군 주요 증상 및 치료법 알아보기
흉곽출구증후군(Thoracic Outlet Syndrome, TOS)은 흉곽 출구 부위(목과 어깨 사이)에서 신경이나 혈관이 압박되어 다양한 증상을 유발하는 상태를 말합니다. 이 부위는 쇄골, 제1 늑골, 목의 근육들로 이
ht.chot.co.kr
장누수증후군 증상 및 치료 방법 (feat. 장누수증후군에 좋은 음식)
장누수증후군(Leaky Gut Syndrome)은 장벽의 투과성이 증가하여 독소, 미생물, 그리고 소화되지 않은 음식 입자들이 장벽을 통과해 혈류로 들어가는 상태를 의미합니다. 이 상태는 면역 반응을 유발
ht.chot.co.kr
부신피로 증후군 증상, 치료법, 치료 약 자세히 알아보기
부신 피로 증후군은 스트레스와 관련된 상태로, 만성적인 스트레스가 부신의 기능을 저하시켜 피로, 집중력 저하, 체중 증가 등의 증상을 초래하는 것을 말합니다. 부신은 신장의 상부에 위치한
ht.chot.co.kr
'질병관리 > 일반' 카테고리의 다른 글
| 가래빼는법 TOP 10 가래 원인부터 효과적인 가래 제거 방법 총정리 (0) | 2025.05.31 |
|---|---|
| 왼쪽옆구리통증 원인부터 대처법까지 총정리 (놓치지 말아야 할 증상과 관리 팁) (0) | 2025.05.31 |
| 설사 멈추는 법과 설사 원인 총정리 (0) | 2025.04.28 |
| 장염 빨리 낫는 법 총 정리 (0) | 2025.04.28 |
| 임신 극초기증상 TOP 10 알아보기 (feat. 냉, 설사, 가슴 변화 등) (0) | 2025.01.25 |