발 안쪽에 갑작스런 통증이나 불편함을 느껴본 적이 있나요?
그 원인이 단순한 피로가 아닐 수도 있다는 사실을 알고 계신가요?
특히 평소 운동을 많이 하거나 활동량이 많다면 더욱 주의가 필요합니다.
바로 '부주상골증후군'이라는 비교적 낯선 질환이 우리의 발 건강을 위협할 수 있기 때문입니다.
부주상골이라는 것은 본래 정상 발뼈 구조에 속하지 않는 '추가 뼈'를 말하며,
전체 인구 중 약 10~15%가 가지고 있을 정도로 흔한 해부학적 변이입니다.
그렇지만 이 여분의 뼈가 후경골건에 반복적으로 자극을 주면 통증과 염증이 발생하는 '부주상골증후군'이 발현하게 됩니다.
증상은 발 안쪽 아치 부위의 통증부터 시작해 일상생활에 큰 불편을 초래할 수 있는데,
적절한 진단과 치료가 없으면 만성화되어 걷기조차 어려워질 수 있습니다.
어떤 경우에는 운동선수처럼 활동이 많은 젊은 층에서도 자주 발생해,
발 건강에 미치는 영향이 상당히 큽니다.
오늘 이 글에서는 부주상골증후군의 정의와 원인, 증상에서부터 진단법, 치료와 예방까지
엑스레이와 MRI 같은 정밀검사를 포함한 다양한 정보를 꼼꼼하게 살펴보겠습니다.
발 통증으로 고민하는 분들과 그 가족들, 그리고 의료진까지 모두에게 유익한 가이드가 될 것입니다.
발 건강을 지키고 통증 없이 활기찬 일상을 보내고 싶다면 꼭 끝까지 읽어보시기 바랍니다.

부주상골이란 무엇인가?
부주상골은 평소 우리가 알고 있는 발뼈 구조에 속하지 않는 선천적인 여분의 뼈입니다. 이는 전체 인구의 약 10~15% 정도에서 발견되는 비교적 흔한 해부학적 변이로, 특별한 증상이 없는 경우가 많아 스스로 인지하지 못하는 사람들도 많습니다. 발 안쪽 내측 중족부, 즉 발 아치의 중요한 부위에 위치하며 후경골건(posterior tibial tendon)과 근접한 곳에 자리 잡고 있습니다. 이 위치 때문에 부주상골이 발 아치 유지와 움직임에 어느 정도 영향을 미칠 수 있습니다.
부주상골의 발생 원리
부주상골은 태아 시절 주상골(navicular bone) 골화 과정에서 일부 골화 분리가 제대로 이루어지지 않아 발생하는 것으로 알려져 있습니다. 보통의 뼈와는 달리 이 부주상골은 독립된 별도의 뼈로 존재하거나 주상골과 부분적으로 붙어 있을 수 있습니다. 이 특성 때문에 평소에는 별다른 불편함이 없지만, 특정 상황이나 활동 중에 후경골건과 주변 연부 조직에 자극을 가할 수 있습니다.
부주상골의 해부학적 중요성
후경골건은 발 아치를 유지하고 발목의 안정성을 담당하는 힘줄로서 매우 중요한 역할을 합니다. 부주상골이 이 힘줄의 부착 부위 주변에 존재하기 때문에 힘줄에 영향을 미칠 가능성도 큽니다. 이로 인해 힘줄에 과부하나 염증이 발생할 수 있으며, 궁극적으로 발 통증이나 기능 저하로 연결될 수 있습니다.
요약하자면, 부주상골은 우리 몸에 자연스럽게 발생하는 해부학적 변이로, 대부분 무증상이지만 정상 구조와 다름으로 인해 특정 환경이나 활동 중에는 문제를 일으킬 수 있다는 점에서 주의가 필요합니다.
| 항목 | 내용 |
| 부주상골 정의 | 선천적인 여분 뼈, 주상골과 별도 존재 |
| 발견률 | 전체 인구 약 10~15% |
| 위치 | 발 안쪽 내측 중족부, 후경골건 근처 |
| 발생 원리 | 태아 시기 골화 분리 미완료 |
| 임상 중요성 | 후경골건 기능 및 발 아치 유지와 관련 |



부주상골의 형태와 분류
부주상골증후군을 이해하기 위해서는 먼저 부주상골의 형태와 분류를 명확히 아는 것이 중요합니다. 부주상골은 정상적인 발뼈 구조에 포함되지 않는 선천적 여분 뼈로, 그 모양과 주상골과의 연결 상태에 따라 크게 세 가지 유형으로 나뉩니다. 이 분류는 환자의 증상 발생 가능성과 치료 방향을 결정하는 데 중요한 역할을 합니다.
1형: 분리형 (Sesamoid Type)
1형 부주상골은 가장 작은 형태로, 둥글고 작으며 후경골건 안에 포함되어 있습니다. 이는 일종의 건내 뼈조각으로 생각할 수 있는데, 대부분 무증상이며 우연히 발견되는 경우가 많습니다. 즉, 별도의 임상적 문제를 일으키지 않는 경우가 많아 치료가 필요 없는 경우가 대부분입니다.
2형: 관절 연결형 (Synchondrosis Type)
2형 부주상골은 부주상골과 주상골이 섬유연골 또는 섬유조직으로 연결된 중간 크기 뼈입니다. 이 유형은 전체 부주상골 중 가장 흔하며, 부주상골증후군 증상이 주로 발생하는 형태입니다. 섬유성 결합 부위가 움직임에 의해 자극받아 염증과 통증을 일으키기 쉽습니다. 특히 후경골건이 부주상골에 부착되어 힘 전달 과정에서 부담이 가중되기 때문에 임상적으로 중요합니다.
3형: 유합형 (Fused Type)
3형은 부주상골이 주상골과 단단히 유합되어 하나의 뼈처럼 보이는 형태입니다. 이 경우에는 별다른 분리나 움직임이 없어 비교적 안정적이지만, 드물게 해당 부위에 스트레스가 누적되면 통증이 발생할 수 있습니다. 3형 부주상골은 일반적으로 증상이 나타나는 빈도가 낮은 편입니다.
부주상골 형태 분류 요약
| 형태 | 특징 | 임상적 중요성 | 증상 빈도 |
| 1형 (분리형) | 작고 둥글며 후경골건 내 위치 | 대부분 무증상 | 낮음 |
| 2형 (관절 연결형) | 주상골과 섬유연골·섬유조직으로 연결 | 염증 및 통증 유발 가능성 높음 | 높음 |
| 3형 (유합형) | 주상골과 완전 골유합 | 비교적 안정, 드물게 통증 가능 | 낮음 |
이처럼 부주상골의 형태는 환자 개개인의 증상 발현과 치료 반응에 큰 영향을 미칩니다. 특히 2형 부주상골은 증상이 흔하게 발생하는 유형이므로, 치료와 예후 판단 시 이를 중점적으로 고려할 필요가 있습니다. 만약 발 안쪽에 통증이 있고 부주상골증후군이 의심된다면, 정밀한 영상 검사를 통해 해당 부위의 형태를 정확히 진단받는 것이 무엇보다 중요합니다. 증상 완화를 위해서는 정확한 형태 분류 후 그에 맞는 맞춤 치료가 필수이니, 전문가와 상담하여 적절한 관리 계획을 세우시길 권장합니다.



부주상골증후군 정의와 발생 원인
부주상골증후군은 '부주상골'이라는 추가적인 뼈가 후경골건에 부착되어 반복적인 자극과 염증이 발생할 때 나타나는 질환입니다. 단순히 부주상골이 존재하는 것 자체는 문제가 되지 않지만, 이 부위에 지속적인 마찰이나 외상이 가해지면 통증과 기능 장애를 유발하는 부주상골증후군으로 발전할 수 있습니다. 쉽게 말해, 부주상골이 후경골건에 부담을 주어 부위의 염증과 통증이 생기는 상태를 말합니다.
부주상골증후군이란 무엇인가?
부주상골은 선천적으로 발 내측 중족부에 위치하는 해부학적 변이인데 전체 인구의 약 10~15%가 이를 가지고 있습니다. 대부분은 무증상인 경우가 많으나, 부주상골이 후경골건에 부착된 형태일 때 반복적인 스트레스가 쌓여 부주상골증후군이 발생합니다. 이 증후군은 발 안쪽에 심한 통증을 일으켜 걷기나 일상 활동을 어렵게 만듭니다. 특히 청소년기나 젊은 층, 활동량이 많은 사람들에게서 더 흔히 나타나며, 평발이나 아치가 낮은 발 구조에서도 발병 가능성이 높아집니다.
부주상골증후군의 주요 원인
부주상골증후군의 발생에는 선천적인 요인과 후천적인 요인이 복합적으로 작용합니다. 가장 큰 선천적 원인은 바로 부주상골 자체의 존재입니다. 선천적으로 주상골 골화 과정 중 분리가 완전히 되지 않아서 여분의 뼈가 형성되는 것입니다. 이 뼈가 후경골건에 부착될 때, 반복적인 힘 전달과 움직임으로 인해 염증이 발생할 위험이 높아집니다.
후천적인 원인으로는 다음과 같은 요소들이 있습니다:
- 과도한 운동 및 반복적인 발목과 발 아치 사용: 달리기, 점프, 등산, 농구, 축구, 배구 등 반복적인 운동은 후경골건에 큰 부담을 줍니다.
- 외상: 발목 염좌, 타박상, 충격 등이 염증을 유발하거나 악화시킬 수 있습니다.
- 평발 또는 낮은 아치: 아치가 낮으면 후경골건에 과부하가 걸려 부주상골 부위에 자극을 줍니다.
- 부적절한 신발 착용: 딱딱하거나 발 안쪽을 압박하는 신발, 하이힐, 쿠션과 지지력이 부족한 신발은 증상을 악화시킬 수 있습니다.
- 체중 증가: 몸무게가 늘어나면 발에 가해지는 하중이 증가하여 후경골건과 부주상골 부위에 과도한 압력이 발생합니다.
부주상골증후군이 발생하는 기전
후경골건은 발 아치를 유지하고 발목의 안쪽 움직임을 조절하는 중요한 역할을 합니다. 그런데 후경골건이 부주상골에 부착되어 있을 경우, 2형 부주상골에서 특히 힘의 전달이 효율적이지 못하고 힘줄 부착 부위에 과부하가 집중됩니다. 이로 인해 염증이 발생하고, 연골이나 섬유성 결합 부위가 손상되면서 통증이 심해집니다. 또한, 신발과의 마찰이 더해져 연부 조직이 자극받으면 증상이 악화되곤 합니다.
요약: 부주상골증후군 정의와 원인
| 구분 | 내용 |
| 정의 | 부주상골 부위 후경골건의 반복적 자극으로 인한 염증 및 통증 상태 |
| 주요 선천적 원인 | 부주상골 존재 및 후경골건 부착 부위 |
| 주요 후천적 원인 | 과도한 운동, 외상, 평발, 부적절한 신발, 체중 증가 |
| 병태생리 | 후경골건 부착 부위 과부하, 염증, 연부 조직 마찰 및 손상 |
만약 발 안쪽의 지속적인 통증을 경험하고 계시다면, 이 질환을 의심해보고 전문의 상담을 받아보는 것이 중요합니다. 조기 진단과 적절한 치료만이 빠른 회복과 재발 방지에 큰 도움이 될 수 있기 때문입니다. 자세한 진단법과 치료법은 다음 섹션에서 꼼꼼히 안내해 드리겠습니다.



부주상골증후군 주요 증상
부주상골증후군은 발 안쪽 내측, 특히 아치 부위에 나타나는 통증이 가장 대표적인 증상입니다. 이 통증은 대개 복숭아뼈 아래 앞쪽 부위에서 느껴지며, 압통이 심해 해당 부위를 눌렀을 때 욱신거리는 느낌이 강하게 나타납니다. 일반적인 발 통증과 달리 날카로운 통증을 호소하는 경우도 많아 일상생활에 적잖은 불편함을 초래합니다.
또한 활동 시 통증이 더욱 심해지는 특징이 있는데, 걷거나 달리기, 점프와 같은 발을 많이 사용하는 동작을 할 때 통증이 악화됩니다. 반대로 휴식이나 발을 올려놓는 경우 통증이 어느 정도 완화되는 점도 환자들이 경험하는 공통적인 증상 중 하나입니다. 이처럼 활동과 휴식에 따른 통증의 변화를 통해 부주상골증후군을 의심할 수 있습니다.
통증 외에도 부종, 발적, 열감 등 염증 반응이 나타날 수 있으며, 신발을 착용할 때 해당 부위가 압박되어 불편감과 마찰로 인한 통증이 심해질 수 있습니다. 특히 딱딱하거나 발 안쪽을 압박하는 신발을 신었을 때 이러한 증상이 더 뚜렷하게 나타나기 때문에 신발 선택 역시 중요합니다.
더불어, 경우에 따라 심한 통증 때문에 보행 장애가 발생할 수 있으며, 절뚝거림이나 체중 지탱이 어려워지는 증상도 경험할 수 있습니다. 드물게 신경 압박 증상으로 인해 저림이나 감각 이상 증세가 동반되기도 합니다. 평발이나 낮은 아치가 동반된 경우에는 증상이 더욱 심해지는 경향이 있어 발 구조에 대한 세심한 관찰이 필요합니다.
이처럼 부주상골증후군의 증상은 통증부터 염증, 기능 장애까지 다양하며, 증상이 심해지면 일상생활 자체가 어려워질 수 있습니다. 따라서 초기 증상을 인지하고 적절한 치료를 받는 것이 매우 중요합니다.
| 증상 | 설명 |
| 발 안쪽 내측 통증 | 복숭아뼈 아래 앞쪽 아치 부위의 날카롭고 욱신거리는 통증 |
| 활동 시 통증 악화 | 걷기, 달리기, 점프 시 통증 증가, 휴식 시 완화 |
| 부종, 발적, 열감 | 염증으로 인한 부기와 피부 발적, 열감 발생 |
| 신발 착용 시 불편감 | 압박과 마찰로 인해 통증 및 불편함 심화 |
| 보행 장애 및 절뚝거림 | 심한 통증으로 인한 걷기 어려움과 절뚝거림 발생 |
| 저림 및 감각 이상 | 신경 압박 시 드물게 나타나는 신경 증상 |
| 평발 동반 시 증상 악화 | 평발 또는 낮은 아치가 증상 악화에 영향을 미침 |
부주상골증후군 증상은 초기에는 가벼운 불편함에서 시작하지만, 점점 악화될 경우 생활의 질 저하로 이어질 수 있습니다. 따라서 증상을 무시하지 말고 조기에 전문가와 상담하여 정확한 진단과 적절한 치료를 받는 것이 중요합니다. 통증 완화와 재발 방지를 위해서는 증상에 맞는 치료법을 선택하고 꾸준한 관리가 필요하니, 지금 바로 발 건강을 위한 첫걸음을 내딛으시길 권합니다.



진단 방법과 감별 진단
부주상골증후군의 정확한 진단을 위한 절차
부주상골증후군은 단순한 발 통증과 혼동되기 쉬워, 정확한 진단이 매우 중요합니다. 먼저, 의료진은 환자의 병력을 청취하며 통증의 위치, 시작 시기, 통증이 심해지는 상황과 완화되는 경우, 그리고 일상생활이나 운동 시 어떤 변화가 있는지 꼼꼼히 확인합니다. 예를 들어, 어떤 신발을 신었을 때 더 아픈지, 혹은 걷거나 달릴 때 통증이 심해지는지의 여부가 진단에 큰 단초를 제공합니다.
신체검진은 진단의 핵심입니다. 부주상골 부위의 압통과 부종 여부를 확인하고, 발 모양을 관찰하여 평발이나 아치 높이의 이상 여부를 파악합니다. 또한 후경골건의 기능을 평가하는 까치발 테스트를 통해 힘줄의 건전성을 검사하게 됩니다. 이 과정에서 통증이 유발되면 부주상골증후군 가능성이 높아집니다.
영상검사의 중요성
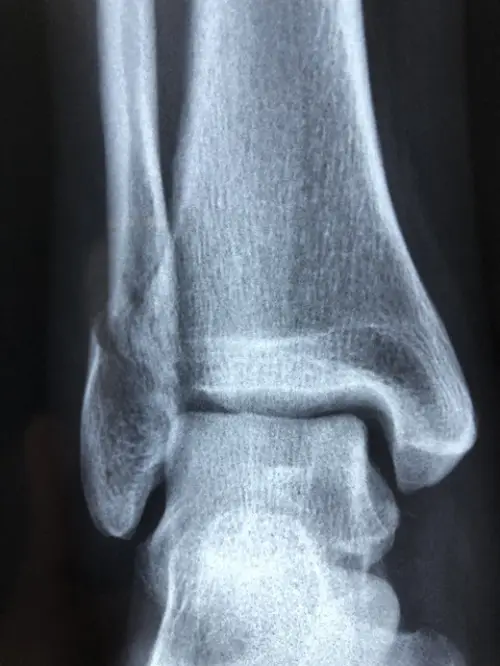
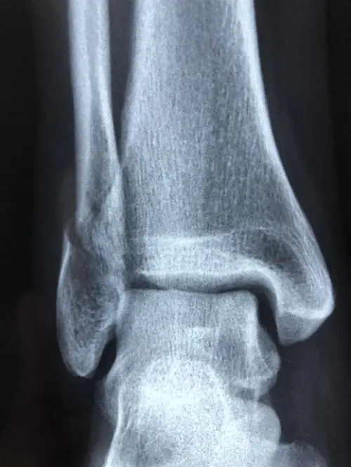
진단에서 영상검사는 필수적입니다. 가장 기본적으로 시행하는 X-ray 검사는 부주상골의 존재 여부, 크기, 형태 및 주상골과의 연결 상태를 확인할 수 있습니다. 특히 부주상골의 분류(1형, 2형, 3형 등)와 증상 발생 가능성을 파악하는 데 필수적입니다.
더 정확한 골조직의 손상이나 미세 골절이 의심될 경우, CT(컴퓨터단층촬영)을 통해 뼈의 세밀한 구조를 확인합니다. 이 검사는 골절 유무뿐 아니라 부주상골과 주변 뼈 사이의 관계를 보다 명확히 해줍니다.
부주상골과 관련된 연부 조직의 상태, 특히 후경골건의 염증이나 파열을 평가하려면 MRI(자기공명영상) 검사가 가장 적합합니다. 연부 조직 변화가 명확히 드러나 치료 방향 결정에 도움이 됩니다. 또한 다른 유사 질환과의 감별 진단에도 MRI는 매우 유용합니다.
감별 진단—비슷한 증상을 보이는 질환들
부주상골증후군과 유사한 증상을 보이는 질환들이 많아 감별이 중요합니다. 족저근막염은 발바닥 부위 통증이 주로 나타나지만 가끔 부주상골증후군과 혼동될 수 있습니다. 후경골건염 역시 비슷한 부위에 통증이 있으나, 후경골건의 전반적인 염증에 집중됩니다.
주상골 골절이나 발목 염좌도 부주상골증후군과 통증 위치가 겹치기 때문에 자세한 평가와 영상검사로 구분해야 합니다. 스트레스 골절 역시 초기 증상이 미묘해 오진되기 쉽습니다. 정확한 감별을 위해서는 통증의 발생 원인, 병력, 진찰 소견과 영상 소견을 종합해야 합니다.
요약 표
| 진단 항목 | 내용 | 비고 |
| 문진 | 통증 위치·시기·악화 요인 확인 | 병력 및 생활 습관 중요 |
| 신체검진 | 압통, 발 모양, 후경골건 기능 검사 | 까치발 테스트 포함 |
| X-ray | 부주상골 존재 확인, 형태 분류 | 기본 영상검사 |
| CT | 미세 골절 및 뼈 구조 정밀 검사 | 필요 시 추가 검사 |
| MRI | 연부조직 염증 및 파열 검사 | 감별 진단에 중요 |
| 감별 진단 | 족저근막염, 후경골건염, 골절, 염좌 등 | 비슷한 증상 구분 필요 |
정확한 진단은 부주상골증후군 치료의 첫걸음입니다. 통증이 지속된다면 지체하지 말고 전문의를 만나 정밀 검사를 받아보시는 것이 현명한 선택입니다. 조기 진단과 적절한 치료를 통해 통증을 줄이고 빠른 일상 복귀가 가능합니다.



비수술적 치료법
부주상골증후군 환자들은 대부분 초기 단계에서 비수술적 치료법을 통해 증상 완화와 기능 회복을 기대할 수 있습니다. 수술 없이도 충분히 통증을 줄이고 일상생활에 복귀할 수 있다는 점에서, 먼저 비수술적 치료의 중요성을 강조하고 싶습니다. 과연 어떤 방법들이 효과적인지, 왜 이러한 치료법들이 권장되는지 자세히 알아보겠습니다.
안정 및 휴식의 중요성
냉찜질과 약물치료
염증을 가라앉히고 부종을 완화하기 위해 냉찜질은 매우 유용한 방법입니다. 하루 여러 차례, 15~20분씩 냉찜질을 시행하면 염증 반응이 줄고 통증도 효과적으로 개선됩니다. 여기에 비스테로이드성 소염진통제(NSAIDs)인 이부프로펜이나 나프록센 등의 약물을 함께 사용하면 통증 조절과 염증 완화에 도움을 줄 수 있습니다. 하지만 약물 복용 시 반드시 의료진 지시를 따라 부작용을 예방해야 하며, 장기간 복용은 권장되지 않습니다.
보조기와 깔창 사용
부주상골증후군은 발 아치와 후경골건에 과부하가 걸리면서 발생하기 때문에, 아치를 지지하는 보조기구 착용은 치료에 큰 효과가 있습니다. 맞춤형 또는 기성 깔창(insole)을 사용하여 발의 아치를 안정화시키고, 후경골건의 부담을 줄여 통증 완화에 도움을 줍니다. 또한, 발목 고정용 보조기나 워킹 부츠는 발목 움직임을 제한해 염증 부위에 가해지는 자극을 줄여줍니다. 이런 보조기구는 치료 기간 동안 착용하며 점진적으로 사용 시간을 늘려가는 것이 좋습니다.
물리치료와 운동요법
통증 완화와 재발 방지를 위해 물리치료는 핵심적인 역할을 합니다. 각각의 환자 상태에 맞춘 스트레칭과 근력 강화 운동이 병행되며, 특히 후경골건과 발 아치 근육들을 강화하는 운동이 필수적입니다. 초음파 치료나 전기 자극 치료는 염증 완화와 혈류 개선에 도움을 줘 증상 완화에 효과적입니다. 또한 고유수용성 감각 훈련을 통해 발의 감각 기능을 개선하고 재발 위험을 낮출 수 있습니다. 꾸준한 운동과 적절한 물리치료는 장기적인 호전에 크게 기여합니다.
생활 습관과 신발 관리
통증 관리를 위해서는 일상생활에서 체중 조절과 편안한 신발 착용 역시 매우 중요합니다. 무리한 체중 증가는 발의 하중을 증가시켜 증상을 악화시키므로 적정 체중을 유지하는 것이 좋습니다. 신발은 딱딱하지 않고 발 안쪽을 과도하게 압박하지 않으며, 충분한 쿠션과 아치 지지 기능이 있는 제품을 선택해야 합니다. 하이힐이나 지지력이 약한 신발은 피하고, 평발이 있는 경우 맞춤 깔창 착용이 더욱 도움이 됩니다.
요점 정리
| 치료법 | 설명 | 효과 |
| 안정 및 휴식 | 통증 시 발 사용 제한 | 염증 악화 예방 |
| 냉찜질 및 약물치료 | 염증과 통증 완화 | 부종 감소, 통증 경감 |
| 보조기 및 깔창 | 아치 지지 및 발목 고정 | 후경골건 부담 줄임 |
| 물리치료 및 운동 | 스트레칭, 근력 강화, 초음파 | 통증 완화, 기능 회복 |
| 생활관리 및 신발 | 체중 조절, 편안한 신발 착용 | 재발 방지, 하중 분산 |
비수술적 치료는 대다수 환자에게 효과적인 첫 단계이며, 꾸준한 관리와 적절한 치료법 선택이 중요합니다. 만약 3~6개월 이상 증상이 개선되지 않는다면 전문의와 상의하여 다음 단계인 수술적 치료를 고려해야 합니다. 지금 바로 자신의 발 건강 상태를 점검하고 적절한 치료를 시작하는 것이 통증 없는 삶으로 나아가는 첫걸음입니다.



수술적 치료법과 회복 과정
부주상골증후군은 대부분 비수술적 치료로 호전되지만, 여러 달간의 보존적 치료에도 불구하고 통증이 지속되거나 일상생활에 지장이 클 때는 수술적 치료를 고려해야 합니다. 수술은 증상의 원인이 되는 부주상골을 직접적으로 제거하거나, 후경골건의 기능을 정상화하며 통증을 완화하는 것을 목표로 합니다.
수술적 치료의 주요 방법
대표적인 수술 종류로는 부주상골 절제술, 키드너 수술(Kidner Procedure), 그리고 골 유합술이 있습니다. 부주상골 절제술은 이름 그대로 부주상골을 제거하는 방법으로, 염증과 통증을 유발하는 주요 병변을 직접 없애는 것이 특징입니다. 이 절차는 특히 부주상골이 독립적으로 존재하며 통증을 유발하는 경우 효과적입니다.
키드너 수술은 후경골건의 부착 부위를 재구성하고 강화하는 수술법입니다. 부주상골과 후경골건의 이상적인 관계를 회복하여 힘줄에 가해지는 스트레스를 줄이고 통증을 완화합니다. 이 방법은 후경골건 손상이 함께 있을 때 흔히 선택됩니다.
골 유합술은 부주상골과 주상골 사이를 고정하여 두 뼈가 하나처럼 혹은 안정적으로 합쳐지도록 하는 수술입니다. 이 수술은 특히 2형 부주상골, 즉 관절성 연결 부위를 가지고 있어 움직임에 의해 통증이 유발되는 경우에 적합합니다.
수술 후 회복 과정과 관리
수술 후에는 4주에서 8주 정도의 고정 기간이 필요합니다. 이 기간 동안에는 발목과 발을 움직이지 못하게 하여 재손상과 합병증을 예방하는 것이 매우 중요합니다. 보통 깁스나 워킹 부츠 형태의 고정을 하며, 비수술 치료 때와 유사하게 냉찜질과 염증 완화가 함께 이루어집니다.
고정이 끝나면 물리치료와 재활이 본격적으로 시작됩니다. 초기에는 근력 저하와 관절 유연성 감소를 방지하기 위한 스트레칭과 가벼운 운동 위주로 진행하며, 점차 걸음걸이 교정, 발 아치 강화 운동, 균형 감각 훈련 등으로 치료 범위를 넓혀갑니다. 이 과정은 재발 방지와 정상적인 발 기능 회복에 매우 중요합니다.
회복 기간 동안 무리한 활동이나 조기 운동 재개는 부작용과 재발 위험을 높일 수 있으므로, 의료진과 상의하며 단계적으로 활동량을 늘려가는 것이 좋습니다. 환자 개인의 회복 속도에 따라 다르지만, 대체로 수술 후 3~6개월 내에는 일상생활 복귀가 가능하니 인내심을 갖고 꾸준히 관리하는 것이 포인트입니다.
수술을 고려해야 할 상황과 환자의 선택
수술은 부주상골증후군 치료에서 최후의 수단이지만, 증상이 심하지 않은 초기 단계에서는 권장되지 않습니다. 심한 통증으로 활동이 제한되거나, 통증이 오랫동안 지속되어 일상생활에 지장이 크면 수술을 진지하게 검토해야 합니다. 또한 여러 보존적 치료에도 효과가 없는 경우 수술이 유일한 해결책이 될 수 있습니다.
환자의 나이, 활동 수준, 증상 정도, 그리고 개인의 건강 상태 또한 수술 결정에 있어 중요한 요인입니다. 의사와 충분한 상담을 통해 수술의 이점과 위험성을 이해하고, 내 몸에 맞는 최적의 치료법을 선택하는 것이 바람직합니다.
| 수술 종류 | 적용 대상 | 특징 | 회복 기간 |
| 부주상골 절제술 | 독립적 부주상골 및 통증 유발 환자 | 부주상골 제거, 직접적 통증 완화 | 4~8주 고정 후 재활 |
| 키드너 수술 | 후경골건 손상 동반 시 | 후경골건 부착 부위 재구성, 강화 | 4~8주 고정 후 재활 |
| 골 유합술 | 2형 관절 연결형 부주상골 환자 | 부주상골과 주상골 고정, 안정화 | 4~8주 고정 후 재활 |
결국 부주상골증후군의 수술적 치료는 정확한 진단과 적합한 수술법 선택이 핵심입니다. 또한 회복 과정에서 꾸준한 재활과 의료진의 지도가 뒷받침될 때 좋은 결과를 얻을 수 있습니다. 부주상골로 인한 발 통증이 지속된다면, 조기에 전문가 상담을 받고 알맞은 치료 계획을 세우는 것이 건강한 발을 되찾는 첫걸음입니다. 지금 바로 전문 의료기관을 방문하여 당신의 발 건강을 지키세요.



부주상골증후군 예방 방법
부주상골증후군은 발 안쪽에 위치한 추가 뼈인 부주상골이 후경골건과 마찰을 일으켜 발생하는 염증성 질환입니다. 이미 알고 계시겠지만, 한 번 발생하면 일상생활의 불편함뿐 아니라 운동이나 걷기조차 힘들어질 수 있어 예방이 가장 중요합니다. 여기서는 부주상골증후군을 효과적으로 예방할 수 있는 방법들을 구체적으로 살펴보겠습니다.
운동 전후 스트레칭과 근육 강화
첫 번째로 운동 전과 후에 반드시 발과 발목 부위의 스트레칭을 꾸준히 해야 합니다. 스트레칭은 발목과 발의 유연성을 높여 부주상골과 후경골건에 가해지는 부담을 줄여줍니다. 또한 발주변 근육을 강화하는 운동은 아치 지지력을 높여 발 아치의 과부하를 예방하는 데 도움이 됩니다. 예를 들어, 발가락으로 수건을 잡아당기는 운동이나 발끝 들기 운동이 효과적입니다. 저 역시 꾸준히 발목 근력 운동을 시작한 이후 통증이 크게 완화된 경험이 있습니다.
편안하고 지지력 있는 신발 착용
신발 선택도 매우 중요합니다. 딱딱하거나 발 안쪽을 압박하는 신발, 높은 굽(하이힐)은 후경골건에 압력을 가중시켜 부주상골증후군 위험을 높입니다. 반대로, 발 아치를 잘 지지해 주는 맞춤형 깔창이나 촉감이 부드러운 신발을 착용하면 부주상골 부위의 마찰과 자극을 줄일 수 있습니다. 평발이 있는 분들은 특히 맞춤 깔창 사용을 권장합니다.
체중 관리와 과도한 발 사용 제한
과체중은 발에 가해지는 하중을 증가시켜 부주상골과 후경골건에 부담을 줍니다. 따라서 적절한 체중을 유지하는 것이 예방에 큰 도움이 됩니다. 또한 지나친 달리기, 반복적 점프 등 부하가 큰 운동은 발 상태가 좋지 않을 때 특히 주의를 요합니다. 부주상골 부위에 불편함을 느끼면 즉시 운동을 중단하고 휴식을 취하는 것이 중요합니다.
초기 증상 무시하지 않기
부주상골증후군은 초기 증상으로 발 안쪽에 미세한 통증이나 불편함이 나타납니다. 이를 무시하고 방치하면 염증이 악화되어 만성 통증으로 진행될 수 있습니다. 따라서 발 안쪽에 지속적으로 통증이나 압통이 느껴지면 조기에 전문의 진료를 받아 정확한 진단과 관리 계획을 세우는 것이 좋습니다.
외상 예방 및 보호
발목 염좌나 타박상과 같은 외상은 부주상골증후군 발병 위험을 높일 수 있으므로 운동 중 보호대를 착용하고 안전한 운동 환경을 조성하는 것이 중요합니다. 특히 점프 동작이나 급격한 방향 전환이 잦은 운동을 할 때는 보호구가 큰 도움이 됩니다.
| 예방 방법 | 구체적 내용 |
| 운동 전후 스트레칭 | 발과 발목 유연성 강화, 아치 지지 근육 운동(수건 잡기, 발끝 들기 등) |
| 지지력 좋은 신발 착용 | 발 아치 지지 깔창 사용, 딱딱하거나 하이힐 피하기, 맞춤 깔창 |
| 체중 관리 | 적정 체중 유지로 발 하중 감소 |
| 초기 증상 조기 대처 | 통증 지속 시 전문의 진료, 적절한 치료 및 휴식 |
| 외상 예방 | 운동 시 보호대 착용, 안전한 환경 조성 |
부주상골증후군 예방은 특별한 기술이나 큰 노력이 필요한 것이 아닙니다. 다만 평소 발 건강에 관심을 갖고 꾸준히 관리하는 습관이 무엇보다 중요합니다. 작은 통증이라도 무심코 넘기지 말고 적절하게 대처하면 부주상골증후군 뿐만 아니라 다양한 발 질환을 미리 막을 수 있습니다.
지금 당장 내 발 상태를 점검하고 위의 예방 수칙을 일상에 적용해 보세요. 건강한 발은 당신의 활기찬 일상을 지키는 든든한 버팀목이 될 것입니다.
꾸준한 관심과 실천으로 부주상골증후군 예방에 반드시 성공하시길 바랍니다.



함께 읽으면 좋은 글
발목접질렀을때 응급 처치 방법 및 회복 방법 총 정리
발목을 접질렸을 때 어떻게 대처해야 할지 막막한 경험, 한 번쯤은 모두 겪어보셨을 겁니다.갑작스러운 통증과 부종에 금세 불안해지기도 하고, 제대로 치료하지 않으면 회복이 늦어질까 걱정
ht.chot.co.kr
경옥고 효능 TOP 5 및 경옥고 복용법과 부작용 알아보기
여러분은 전통 한방 보약 중 하나인 경옥고를 들어보셨나요? 조선 왕실에서도 즐겨 사용했다고 알려진 이 약재는 현대에도 많은 사람들에게 사랑받고 있습니다. 허약체질 개선 및 피로 회복 등
ht.chot.co.kr
광동공진단 vs 익수공진단 가격 및 성분 정보 비교 분석하기
광동공진단과 익수공진단은 한국의 대표 제약사인 광동제약과 익수제약에서 만든 대표적인 공진단 제품이며, 근처 약국에서 편하게 구매가 가능한 제품입니다.공진단은 체력을 보강하고 면역
ht.chot.co.kr
유리아 크림 가격 및 주요 효능 자세히 알아보기 (feat. 모공각화증, 각질 제거)
여러분도 건조한 날씨에 피부가 거칠어지면서 각질이 눈에 띄기 시작하는 경험을 해보셨나요? 특히 발뒤꿈치나 팔꿈치처럼 잘 관리하지 않으면 각질이 쌓이고 거칠어지는 부위는 겨울이 다가
ht.chot.co.kr
판시딜 탈모 치료제의 효과와 부작용, 성분 및 가격 정보 완벽 정리
최근 들어 탈모로 고민하는 분들이 많아지고 있습니다. 유전적인 요인뿐만 아니라 스트레스와 생활 습관 변화로 탈모가 시작되기도 하는데요. 이럴 때 간편하게 사용할 수 있는 탈모 치료제 중
ht.chot.co.kr